Endodontie

Glide Path La Première Étape vers l'Endodontie

Comprendre, établir et sécuriser le glide path — fondements, méthodes manuelles et mécanisées.

Glide Path La Première Étape vers l'Endodontie
01

Définition et Importance du Glide Path

Définition clinique

Le glide path désigne la préparation initiale du canal radiculaire avant la mise en forme finale. En pratique clinique, son obtention se manifeste par une sensation au bout des doigts comparable à la glisse sur un toboggan, menant directement et sans résistance jusqu'à l'apex.

Cette phase préparatoire est essentielle car elle facilite le passage des instruments mécanisés jusqu'à la longueur de travail désirée, en minimisant les contraintes excessives sur les instruments et les parois canalaires.

Pourquoi le glide path est une mesure de sécurité fondamentale

  • Réduit considérablement le risque de fracture instrumentale
  • Prévient le transport apical et les erreurs de mise en forme
  • Facilite la progression des instruments NiTi rotatifs sans contrainte excessive
  • Améliore l'efficacité du nettoyage et de la mise en forme canalaire
  • Diminue le risque de blocage et de création de fausses voies
  • Transforme une étape délicate en routine maîtrisée et reproductible
La cause réelle des difficultés en mise en forme Les complications rencontrées lors de la mise en forme canalaire découlent souvent non pas de l'étape de mise en forme elle-même, mais d'un glide path insuffisant ou absent. Investir du temps dans cette étape préalable est l'un des meilleurs leviers de prévention des incidents endodontiques.
02

Origine du Concept — L'Analogie Aéronautique

Du cockpit au canal radiculaire

Le terme glide path trouve son origine dans l'aviation, où il désigne la trajectoire de descente guidée qu'un avion suit pour atterrir sur une piste de manière sûre, précise, douce et aussi fluide que possible.

Ce concept a été transposé en endodontie pour décrire le chemin que les instruments doivent pouvoir suivre à travers le canal radiculaire, de l'entrée canalaire jusqu'à l'apex, de manière sûre, sans contrainte et de façon reproductible.

Glide path ✓ — Canal préparé

Condition optimale pour la mise en forme
  • Progression fluide jusqu'à l'apex sans résistance
  • Sensation de glisse continue au bout des doigts
  • Les instruments NiTi rotatifs progressent sans contrainte
  • Risque de fracture instrumentale minimisé
  • Mise en forme prévisible et reproductible

Glide path ✗ — Canal non préparé

Condition à risque — erreurs fréquentes
  • Résistances, blocages, sensation de vissage
  • Contraintes cycliques excessives sur les instruments NiTi
  • Risque élevé de fracture instrumentale
  • Transport apical, déviation de courbure
  • Butées, fausses voies, perforations
03

Glide Path Manuel — Techniques et Précautions

Protocole de glide path avec limes manuelles (K-files)

Séquence à suivre avant toute utilisation d'instruments mécanisés.

Préparation préalable indispensable
  • Réaliser une cavité d'accès adéquate — entrées canalaires bien visibles et accessibles
  • Remplir la chambre pulpaire d'hypochlorite de sodium
  • Renouveler régulièrement la solution d'irrigation tout au long du processus
Technique de la lime manuelle fine (K08 / K10)
  • Débuter avec la lime de plus petit diamètre disponible (K08 ou K10)
  • Mouvement de force équilibrée : ¼ de tour horaire puis ¼ anti-horaire
  • Pression vers l'apex ne dépassant pas le poids des doigts
  • Alternative : ½ tour à 1 tour complet avant retrait (recoil watch-winding)
  • Progresser millimètre par millimètre — jamais en force
Entretien des limes et hygiènes du canal
  • Nettoyer la lime après chaque mouvement avec une compresse imbibée d'alcool ou de NaOCl
  • Inspecter visuellement la lime à chaque sortie du canal
  • Irriguer abondamment entre chaque lime et après chaque avancée
  • Ne jamais forcer une lime bloquée — retirer, re-irriguer, reprendre
Règle absolue — Ne jamais forcer Appliquer une force excessive sur une lime bloquée est la principale cause de fracture instrumentale en endodontie. Si une résistance est rencontrée : retirer l'instrument, irriguer abondamment, recréer de la perméabilité avec une lime plus fine, puis reprendre progressivement.
04

Glide Path Mécanisé — Limes de Scouting

Les instruments de glide path mécanisé

Les limes de scouting ou de pré-élargissement (PathFile, ProGlider, WaveOne Gold Glider, TruNatomy Glider…) sont des instruments NiTi spécialement conçus pour établir mécaniquement le glide path avant la mise en forme rotative.

InstrumentDiamètre apicalConicitéUtilisation
PathFile #113/100 mm.02Première progression mécanisée
PathFile #216/100 mm.02Élargissement intermédiaire
PathFile #319/100 mm.02Glide path final avant mise en forme
ProGlider16/100 mm.02 → .08Instrument unique progressif
WG Glider14/100 mm.03Réciprocant — canaux difficiles

Technique d'utilisation des limes de scouting mécanisées

Condition préalable : glide path manuel K10 établi jusqu'à la longueur de travail.

Principe du mouvement "Pecking" (picorage)
  • Laisser la lime progresser sans appliquer de pression apicale
  • Mouvement de "picking" ou "pecking" — simulant l'action de picorer
  • Amplitude de mouvement : 2 à 3 mm de va-et-vient
  • La lime avance seule sous l'effet de sa rotation — pas de poussée
En cas de résistance ou de blocage
  • Ne jamais forcer — retirer immédiatement l'instrument
  • Re-irriguer abondamment avec NaOCl
  • Reprendre avec une lime manuelle fine pour recréer de la perméabilité
  • Les instruments mécanisés ne trouvent pas automatiquement le passage — ne pas compter sur eux pour débloquer un canal
Prérequis incontournable L'utilisation d'une lime manuelle fine (K08 ou K10) est indispensable avant de passer à une lime mécanisée ou à une lime manuelle de plus grand diamètre. Cette étape initiale garantit que le canal est suffisamment dégagé pour accueillir des instruments plus larges en toute sécurité.
05

Élargissement du Tiers Coronaire

Pourquoi l'élargissement coronaire facilite la progression apicale

L'élargissement du premier tiers coronaire joue un rôle crucial dans la facilitation de la progression de la lime vers l'apex. Les blocages sont souvent le résultat d'une courbure trop prononcée au niveau du tiers coronaire, entraînant un mauvais alignement de l'instrument dans l'axe canalaire.

Bénéfices de l'élargissement coronaire

Amélioration de l'accès apical
  • Réduit la courbure au tiers coronaire — meilleur alignement instrumental
  • Diminue les contraintes sur les limes en progressant vers l'apex
  • Améliore l'efficacité de l'irrigation (meilleur accès des solutions)
  • Facilite le retrait des débris vers la couronne
  • Réduit le risque de blocage et d'extrusion de débris apicaux

Technique recommandée

Instruments et progression
  • Utiliser une lime mécanisée de petit diamètre pour le tiers coronaire seulement
  • Gates-Glidden #2 ou #3 : utilisés en recul (crown-down) — jamais forcés
  • Instruments orifice shapers : élargissement sélectif du tiers coronaire
  • Contrôle de la profondeur — ne pas dépasser le tiers coronaire sans évaluation
  • Extension jusqu'au tiers moyen si la courbure l'exige
06

Rôle de l'Irrigation dans le Glide Path

L'irrigation — composante indissociable du glide path

L'irrigation joue un rôle primordial pendant toute la phase de glide path : elle lubrifie le canal, dissout les débris produits par l'instrumentation et facilite leur évacuation coronaire. Sans irrigation correcte, les débris s'accumulent et créent des blocages artificiels.

Hypochlorite de sodium (NaOCl)

Gold standard de l'irrigation endodontique
  • Concentrations recommandées : 1,5 % à 5,25 %
  • Action dissolvante sur le tissu pulpaire et les débris organiques
  • Activité antibactérienne puissante
  • Renouveler après chaque instrument et chaque avancée
  • Chambre pulpaire maintenue pleine en permanence

EDTA — Séquence finale

Chélateur — élimination de la boue dentinaire
  • EDTA 17% en fin de glide path et avant la mise en forme finale
  • Ramollit la dentine et facilite la progression instrumentale
  • Utilisé comme lubrifiant lors de la progression dans les canaux difficiles
  • Rinçage final au NaOCl pour neutraliser l'EDTA

Protocole d'irrigation pendant le glide path

À respecter systématiquement pour chaque avancée instrumentale.

Règles fondamentales
  • Chambre pulpaire toujours remplie de NaOCl avant d'introduire la lime
  • Irrigation abondante après chaque avancée et chaque retrait d'instrument
  • Nettoyer la lime avec une compresse imbibée d'alcool ou de NaOCl après chaque utilisation
  • Ne jamais introduire une lime dans un canal sec — lubrification obligatoire
07

Diamètre Final du Glide Path

Le débat clinique — Quel diamètre final ?

La définition du diamètre final du glide path fait l'objet d'un débat parmi les praticiens. L'absence de consensus reflète la diversité des facteurs influençant cette décision.

Diamètre finalDiamètre (mm)Position cliniqueAvantages / Limites
K10 à l'apex0,10 mmMinimumRapide mais insuffisant pour canaux complexes
K15 à l'apex0,15 mmRecommandéIndicateur de sécurité fiable pour la majorité des cas
K20 à l'apex0,20 mmOptimalGlide path solide — canaux difficiles ou retraitement
Recommandation de pratique L'utilisation d'une lime K15 atteignant la perméabilité à l'apex est considérée comme un indicateur de sécurité fiable pour la mise en forme dans la grande majorité des cas cliniques. Elle représente un compromis optimal entre efficacité, sécurité et reproductibilité.
08

La Transition K10 → K15 : Stratégie Clinique

Un défi technique — Augmentation de 50 % du diamètre

La transition d'une lime K10 à une K15 représente un défi notable car elle implique une augmentation du diamètre de 50 % (de 0,10 mm à 0,15 mm). Cette progression ne doit jamais être réalisée directement sans préparation coronaire intermédiaire.

Stratégie pour réussir la transition K10 → K15

Séquence permettant d'atteindre la K15 à la longueur de travail en toute sécurité.

Étape 1 — K10 à la longueur de travail
  • Confirmer que la lime K10 atteint l'apex sans résistance
  • Vérifier avec le localisateur d'apex et une radiographie de contrôle
  • S'assurer de la perméabilité apicale (légère sensation de cran)
Étape 2 — Élargissement coronaire intermédiaire
  • Utiliser une lime de mise en forme rotative de diamètre fin (ex : 20/.04 ou 20/.06)
  • Élargir le tiers coronaire en rotation continue (crown-down)
  • Étendre l'élargissement jusqu'au tiers apical si nécessaire
  • Irriguer abondamment entre chaque étape
Étape 3 — K15 à la longueur de travail
  • Introduire la K15 avec le même mouvement de force équilibrée
  • Cette séquence est suffisante dans la grande majorité des cas
  • Si résistance : revenir à l'étape 2 et élargir davantage
09

Protocole Complet du Glide Path

Résumé opérationnel — Checklist glide path

  • Cavité d'accès conservatrice et rectiligne — entrées canalaires dégagées
  • Chambre pulpaire remplie de NaOCl avant toute introduction instrumentale
  • K08 ou K10 manuelle — progression par mouvement de force équilibrée jusqu'à l'apex
  • Élargissement du tiers coronaire avec instrument rotatif fin (crown-down)
  • Passage à la lime de scouting mécanisée avec mouvement de pecking uniquement
  • K15 manuelle à la longueur de travail — confirmation de la perméabilité
  • Irrigation abondante à chaque étape — NaOCl renouvelé en permanence
  • Nettoyage des limes à chaque retrait du canal

Comparatif glide path manuel vs mécanisé

CritèreManuel (K-files)Mécanisé (scouting)
AccessibilitéTous cabinetsMoteur endodontique requis
CoûtTrès faibleModéré (limes à usage unique)
Sensation tactileExcellente (feedback direct)Réduite par l'intermédiaire du moteur
Vitesse d'exécutionPlus lentePlus rapide
Canaux calcifiésPrérequis indispensableAprès négociation manuelle
Canaux très courbesExcellent contrôleBon avec instruments dédiés
10

FAQ — Questions Cliniques Fréquentes

Non. Commencer la mise en forme rotative sans glide path préalable est l'une des causes les plus fréquentes de fracture instrumentale. Les instruments NiTi rotatifs n'ont pas été conçus pour créer leur propre chemin — ils ont besoin d'un trajet lisse et dégagé pour fonctionner sans contrainte excessive. Appliquer une rotation continue à un instrument NiTi dans un canal non préparé génère des contraintes cycliques qui peuvent dépasser la limite de fatigue du métal en quelques secondes.
La perméabilité apicale consiste à maintenir le foramen apical ouvert avec une lime de petit diamètre (K08 ou K10), permettant de confirmer que le canal n'est pas obstrué à l'apex et d'éviter l'accumulation de débris. Le glide path est une notion plus large qui englobe la préparation d'un trajet lisse et continu depuis l'entrée canalaire jusqu'à l'apex, avec un diamètre suffisant (K15 recommandé) pour permettre le passage aisé des instruments de mise en forme. La perméabilité est une condition nécessaire mais non suffisante pour établir un glide path complet.
Face à un canal calcifié, la règle d'or est de ne jamais précipiter. La stratégie recommandée est : (1) utiliser le microscope opératoire si disponible pour localiser l'entrée canalaire ; (2) débuter avec une lime K06 ou K08 et progresser par mouvements de force équilibrée millimétriques ; (3) irriguer abondamment au NaOCl pour améliorer la visibilité et dissoudre les débris ; (4) utiliser l'EDTA comme lubrifiant pour ramollir la dentine calcifiée. Accepter qu'un canal complètement oblitéré puisse ne pas être négociable sans risque excessif est une décision clinique responsable.
Le temps consacré au glide path est un investissement, non une perte de temps. Pour un canal simple avec anatomie favorable, 3 à 5 minutes suffisent. Pour un canal courbe, calcifié ou à anatomie complexe, 10 à 20 minutes peuvent être nécessaires. Chaque minute passée à établir un glide path correct économise du temps en évitant les incidents (fracture instrumentale, transport apical, blocage) qui nécessitent beaucoup plus de temps et de ressources à gérer.
Non. Les limes de scouting mécanisées complètent mais ne remplacent pas la lime manuelle initiale. Une lime manuelle K08 ou K10 est toujours indispensable pour la négociation initiale du canal — c'est elle qui crée le premier chemin, confirme la perméabilité et donne les informations tactiles essentielles sur la morphologie canalaire. Les instruments mécanisés interviennent ensuite pour élargir et régulariser ce premier trajet de manière plus rapide et plus reproductible.
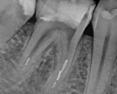
Trois critères permettent de valider un glide path suffisant : (1) Critère tactile — une lime K15 atteint la longueur de travail avec la sensation caractéristique de glisse, sans résistance ni sensation de vissage ; (2) Critère radiographique — la lime K15 est visible à la longueur de travail pré-établie, sans déviation par rapport au trajet canalaire attendu ; (3) Critère de perméabilité — une lime K10 peut être introduite légèrement au-delà de l'apex (0,5 mm) avec une résistance minimale, confirmant que l'apex est perméable et non obstrué.
DentoLink

Endodontie clinique — Base de connaissances 2025

Pratique odontologique en Algérie · Usage professionnel exclusif

Ce contenu est destiné aux professionnels de santé. Il ne se substitue pas aux recommandations officielles et aux données de la littérature scientifique actualisée.

✓ Lien copié !
← Retour aux articles